Медицинский центр ООО «Доктор»
Тверь, ул. Лидии Базановой, 5

Технология 3D УЗИ

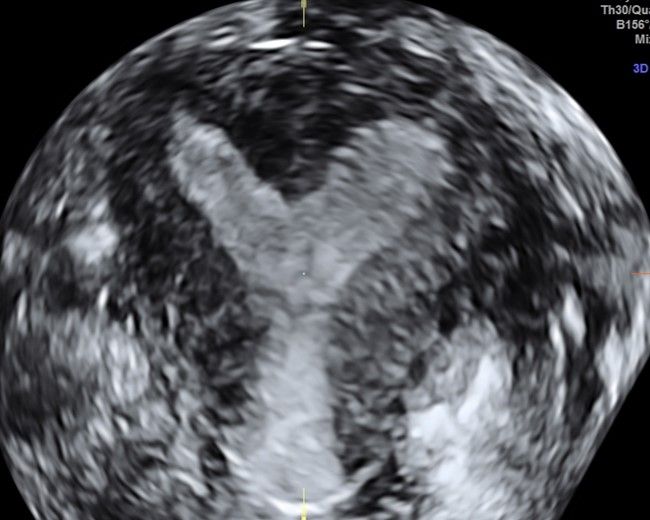
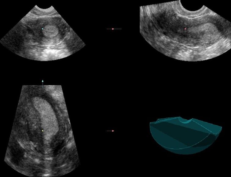
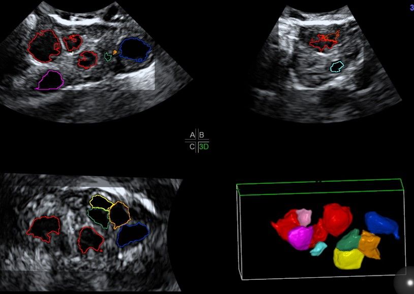
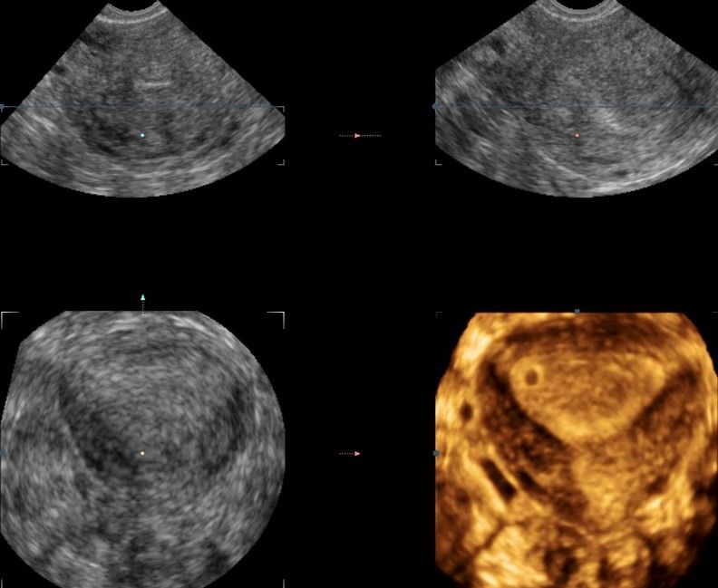
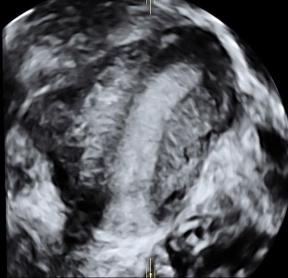
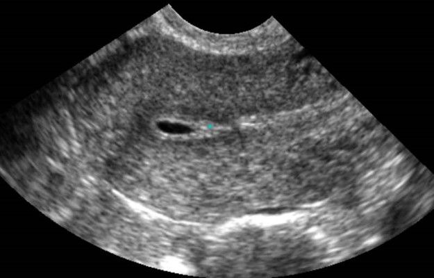
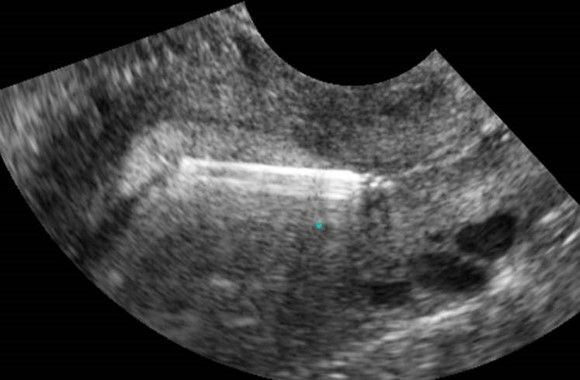
Современные экспертные УЗИ сканеры дают возможность проводить исследования всех органов в 3D. Это позволяет, используя полученный массив данных, получать диагностические сечения в любой плоскости, недоступной для обычного 2D УЗИ. Наиболее интересной является фронтальная. Например, визуализация полости матки. Диагностическая возможность выявления пороков развития превосходит все другие методы (рентгеновские и МРТ). Метод также позволяет уточнить положение ВМК (спирали) в полости матки, расположение миоматозных узлов, расположение плодного яйца на малых сроках, полипов. Сегодня современное экспертное ультразвуковое исследование невозможно без использования 3D УЗИ.

Режим работы

  • Будни
    8:00 — 20:00
  • Суббота
    9:00 — 15:00
  • Воскресение
    Выходной

ИМЕЮТСЯ ПРОТИВОПОКАЗАНИЯ. ПРОКОНСУЛЬТИРУЙТЕСЬ С ВРАЧОМ.
ООО "ДОКТОР" Лицензия № Л041-01186-69/00379565 от 28.08.2012 ОГРН 1096952024070